Prof. Dr. Haridas Das Adhikari

Prof. Dr. Haridas Das Adhikari

B.D.S.(Cal), M.D.S.(B.H.U), Dental Surgeon - Endodontist

Full Mouth Occlusal Rehabilitation

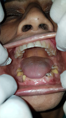
Broken Teeth, remaining Root Stump, severely attired teeth are saved. Then all the 32 Teeth Crowns &/or Bridges are made by Metal, Metal Ceramic or Full Ceramic for chewing purpose and aesthetic. Implant may have to be surgically placed in Jaw Bone for extra support for these teeth.


Occlusal Rehabilitation of a case of broken teeth and remaining root stamp by fixed Crown and Bridge.

Occlusal Rehabilitation of a case of severe attrition by Ceramic Crown and a Bridge

Occlusal Rehabilitation with metal free all Ceramic Crown and Bridges

Powered By - www.calcuttayellowpages.com