Prof. Dr. Haridas Das Adhikari

Prof. Dr. Haridas Das Adhikari

B.D.S.(Cal), M.D.S.(B.H.U), Dental Surgeon - Endodontist

Dental Implant

When teeth are extracted, specially designed metal roots are surgically placing artificial metal root within jaw bone and fixing tooth crown or removable dentures are fixed with it.


Just as shoulder & hip joint implants replace the natural ones, tooth making ball and socket joint with jaw bone can easily be replaced by Tooth Implant. Dental Implants are alloy of Titanium (90%), Aluminium( 6%), Valladium (4%). The implant designed varies with bones of upper and lower jaw &case to case

A patient 3 Implants supported Lower Full Denture

Implant Supported Lower Complete Denture

Single Tooth Implant

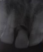
Single Tooth Implant

Pre Operation

Single Tooth Implant

Drilled socket for Implant

Single Tooth Implant

Placement of Implant

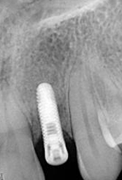
Single Tooth Implant

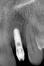
X-ray of Implant

Single Tooth Implant

Placement of Abutement

Single Tooth Implant

X-ray of Implant + Abutment

Single Tooth Implant

X-ray of Implant +
Abutment + Prosthesis

Single Tooth Implant

After Placement of Prosthesis

Single Tooth Implant

After Placement of Prosthesis

Placement of Bone Grafting in previously Enucleated Periapical Lesion for an Implant -

Placement of Bone Grafting

Pre Operation X-ray

Placement of Bone Grafting

Pre Operation

Placement of Bone Grafting

Punch Cut

Placement of Bone Grafting

After Punch Cut

Placement of Bone Grafting

Drilling for Implant

Placement of Bone Grafting

Implant with bone Graft

Placement of Bone Grafting

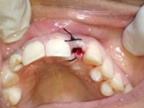
Suturing done

Placement of Bone Grafting

After 6 months

Placement of Bone Grafting

X-ray of Implant

Placement of Bone Grafting

X-ray of Implant + Abutment

Placement of Bone Grafting

X-ray of Implant +
Abutment+ Prosthesis

Placement of Bone Grafting

Post Operation

Use of Bone Graft and GTR membrane for an Implant - -

Use of Bone Graft & GTR membrane for an Implant

Pre Operation X-ray

Use of Bone Graft & GTR membrane for an Implant

Pre Operation

Use of Bone Graft & GTR membrane for an Implant

Bone Graft in Extraction Socket

Use of Bone Graft & GTR membrane for an Implant

GTR Membrane on Bone Graft

Use of Bone Graft & GTR membrane for an Implant

Suturing after Bone Grafting

Use of Bone Graft & GTR membrane for an Implant

After 6 months

Use of Bone Graft & GTR membrane for an Implant

Drilling Implant Socket

Use of Bone Graft & GTR membrane for an Implant

Suturing after Implant Placement

Use of Bone Graft & GTR membrane for an Implant

Before Placement of Prosthesis

Use of Bone Graft & GTR membrane for an Implant

After Placement of Prosthesis

Powered By - www.calcuttayellowpages.com